Пенза ваш город?
Да
Выбрать другой город

УЗИ-аппарат
GE Voluson S10

В наличии
Ультразвуковая система Voluson S10 - это специальное медицинское оборудование, разработанное с учетом раннего выявления патологий и заболеваний женского здоровья, начиная от оценки самочувствия матери и заканчивая состоянием плода. Гинекологическое наблюдение на всех этапах беременности является неотъемлемой частью нормального процесса развития ребенка и предсказуемых родов.
Лизинг
Доставка и лизинг по всей России
Включая Дагестан, Чечню и Крым
Гарантия
Гарантия на медицинское оборудование от производителя!
Послепродажный сервис
Инженерная поддержка
Инструктаж по монтажу и обучение персонала включены в стоимость
Гибкие условия
Оперативная доставка
Лизинг и доставка оборудования в наличии от 1 рабоего дня

УЗИ аппарат Voluson S10 позволяет проводить обследования высочайшего уровня с максимальной точностью диагностики. Благодаря технологии Voluson Core Architecture достигнут высокий уровень качества изображений с возможностью последующей обработки и анализа даже после проведения скрининга. Технология HDlive делает изображения удивительно реалистичными и объемными.

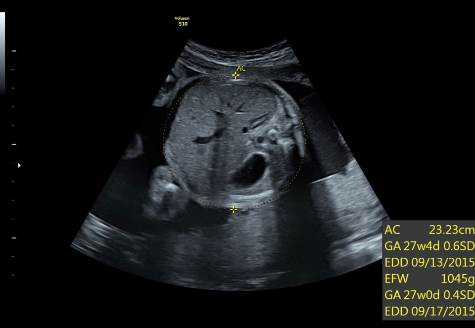
Ультразвуковой аппарат Voluson S10 оснащен чувствительным цветовым допплером, который позволяет оценить кровоток и анатомию сосудов, обеспечивая полную информацию о состоянии плода и околоплодной жидкости. Кроме того, на Voluson S10 установлен большой 22-дюймовый экран, который при использовании трехмерного шарнира может поворачиваться в различных плоскостях, обеспечивая удобство как для пациента, так и для врача.

Основные достоинства системы Voluson S10:

  • Качественная диагностика: Благодаря высокотехнологичной платформе и инновационным технологиям, система обеспечивает высокое качество визуализации и быстрое получение объемных изображений, что позволяет врачам устанавливать точные диагнозы.
  • Больше диагностических данных: Ультразвуковая система GE Voluson S10 оснащена широкоэкранным монитором, который отображает на 98% больше информации по сравнению с предыдущими моделями. Это обеспечивает более полное представление о структурах и состоянии органов.
  • Высокая скорость рабочего процесса: Система имеет интуитивный интерфейс, который позволяет сократить количество нажатий на клавиши, а все основные функции расположены удобно для пользователя. Это позволяет врачам сосредоточиться на исследовании, не отвлекаясь на лишние манипуляции.
  • Превосходная эффективность: Voluson S10 обладает 4 активными портами, которые могут быть переключены одной кнопкой. Это обеспечивает гибкость при проведении исследований и повышает эффективность работы врача.

Автоматизация процессов в системе Voluson S10:

  • SonoRenderlive (Автоматическое объемное изображение): Эта функция упрощает получение объемного изображения путем автоматического выбора положения плоскости визуализации для 3D- и 4D-режимов. Это сокращает необходимость вручную настраивать параметры и упрощает процесс получения объемных изображений.
  • SonoVCADheart (Автоматическое получение серийных срезов сердца плода): При исследовании одного объема, эта функция позволяет получить 6 стандартизированных серийных срезов сердца плода одним нажатием. Это упрощает оценку структуры и функции сердца во время ультразвукового исследования.
  • SonoBiometry (Полуавтоматическая биометрия): Эта технология позволяет проводить измерения биометрических параметров плода, таких как бипариетальный размер, окружность головы, окружность живота, длина бедра и длина плеча. Она упрощает процесс получения точных и надежных измерений.
  • SonoNT (Оценка воротникового пространства) и SonoIT (Оценка внутричерепного пространства): Эти технологии позволяют проводить полуавтоматическую оценку толщины воротникового пространства и размеров IV желудочка головного мозга плода в I триместре беременности. Они обеспечивают более точную оценку этих параметров с минимальными усилиями.
  • SonoAVC (Автоматический расчет объема): Эта функция позволяет визуализировать и рассчитывать размеры и объем гипоэхогенных образований, таких как фолликулы яичника или структуры головного мозга плода. Она помогает в оценке этих образований и отслеживании их изменений в течение времени.

Автоматизация этих процессов упрощает и ускоряет проведение ультразвукового исследования, а также обеспечивает более точные и надежные результаты.

Купить Volusion S10

Вы можете связаться с нашей компанией, Medicray, для покупки ультразвуковой системы Voluson S10. Мы специализируемся на поставках медицинского оборудования в различные медицинские учреждения, включая клиники, медицинские и хирургические центры, стоматологии и другие ЛПУ.

Мы гарантируем своевременную поставку оборудования, высокое качество и оптимальные цены. У нас также есть возможность предложить вам лизинговые варианты сотрудничества с несколькими лизинговыми компаниями.

Процедура покупки в лизинг у нас следующая:

  • Оставьте заявку на нашем сайте или позвоните нам по телефону 8 800 700 21 33.
  • Наш менеджер подготовит для вас предложение на оборудование и предоставит график платежей.
  • Вы получаете одобрение от выбранной лизинговой компании и заключаете договор лизинга.
  • Лизинговая компания приобретает ультразвуковую систему и передает ее вам в лизинг.
  • Вы начинаете использовать медицинское оборудование для своих нужд.
  • Выполняете регулярные лизинговые платежи в соответствии с договором. По окончании договора оборудование переходит в вашу собственность.

Свяжитесь с нами уже сейчас, чтобы получить выгодную цену и лучшие условия финансирования. Позвоните по телефону 8 800 700 21 33 или оставьте заявку на коммерческое предложение по ультразвуковой системе Voluson S10.

Технические характеристики
Диагональ монитора:
23 дюйм
Диагональ командной сенсорной панели:
10.1 дюйм
Вес аппарата:
60 кг
Жесткий диск:
500 ГБ
Тип аппарата:
Стационарный
Эластография:
Компрессионная
Класс аппарата:
Экспертный
Поддерживаемые датчики:
Матричные
Уникальные технологии:
Core Architecture
Количество портов:
4
Страна производитель:
США
Бренд:
GE Healthcare
Категория:
Общая визуализация, Гинекология и акушерство
Доступные опции
Режимы акустической прозрачности 3D:
Нет
Трехмерная реконструкция ЦДК:
Да
Объемное сканирование:
Да
Трехмерная реконструкция методом свободной руки:
Да
Эластография сдвиговой волной/Эластометрия:
Нет
Компрессионная эластография:
Да
Автоматическая подстройка рамки допплера:
Да
Режим полной автоматизации:
Нет
Недопплеровская визуализация кровотока:
Да
Тканевой допплер:
Да
Направленный энергетический допплер:
Нет
Энергетический допплер:
Да
Высокочастотный импульсный допплер:
Да
Цветовой допплер:
Да
Постоянно-волновой допплер:
Да
Импульсно-волновой допплер:
Да
Анатомический М-режим:
Да
Панорамное сканирование:
Да
Режим B-сканирования с отклонением угла:
Да
Трапециевидное сканирование/Виртуальный конвекс:
Да
Триплексное сканирование:
Нет
Дуплексное сканирование:
Нет
Цветной M-режим:
Нет
M-режим:
Да
B-режим, Двухмерное сканирование:
Да
Область применения
Общая визуализация:
Да
Гинекология:
Да
Компоненты дополнительной поставки
3D/4D:
Да
4D:
Да
DICOM:
Да
B-Steer:
Да
STIC:
Да
ЭКГ модуль:
Да
SonoRenderLive :
Да
Advanced VCI (Volume Contrast Imaging):
Да
Томографический ультразвук (TUI):
Да
OmniView:
Да
HDlive:
Да
SonoVCADheart:
Да
SonoAVC:
Да
CWD:
Да
Elastography:
Да
Software DVR:
Да
Кабель ЭКГ стандарт AHA:
Да
Кабель ЭКГ стандарт IEC:
Да
Онлайн калькулятор
Цена
Ориентировочная цена модели
Аванс
10% 100%
 
Срок лизинга
12 месяцев 36 месяцев
 
Ежемесячный платёж
Первоначальный взнос
* Рассчет платежа носит информационный характер и не является публичной офертой.
Условия лизинга индивидуальны для каждого договора.
Условия лизинга
  • По всей России (Включая Крым, Дагестан и Чечню)
  • Авансовый платеж от 10% (для УЗИ брендов GE, Mindray и Samsung)
  • Оформление лизинга от 48 часов
  • Возможность досрочного погашения
  • Лизинг оборудования от 1 года

Стандартная конфигурация Voluson S10

  • Четыре активных порта для датчиков
  • Эргономичный дизайн аппарата
  • Изменение положения панели управления
  • Цветной ЖК монитор 23" с высоким разрешением и построчной разверткой
  • Встроенный жесткий диск 500 ГБ
  • Пишущий дисковод DVD+/-R(W)
  • Инновационный интерфейс пользователя
  • Работа в В-, М-режимах
  • Наличие импульсно-волнового, цветного допплеровского картирования, тканевого, энергетического и высокочувствительного направленного энергетического допплера (HD-Flow)
  • Режим недопплеровской визуализации кровотока B-flow
  • Тканевая гармоника
  • Система управления данными пациентов и программируемые пользователем готовые наборы параметров настройки
  • Поддержка матричных датчиков
  • Автоматическая оптимизация изображения во всех режимах сканирования (ATO)
  • Тканевой допплер
  • Высокочувствительный допплер (HD-Flow)
  • Многолучевое сложносоставное сканирование (CRI)
  • Органоспецифичный режим подавления артефактов (Advanced SRI)
  • Кодированная посылка импульса (Coded Excitation - CE)
  • Многофокусная обработка сигнала (Focus Frequency Composite - FFC)
  • Программы расчетов и отчетов
  • Автоматический расчет толщины воротникового пространства SonoNT и размера четвертого желудочка SonoIT
  • SonoBiometry (автоматическое измерение BPD, AC, HC, HL, FL)
  • DICOM 3.0
  • Увеличение высокого разрешения до 22 раз (HD Zoom)
  • Панорамное сканирование
  • Изменение плоскости сканирования без изменения положения объемного датчика
  • Измерения, включая отчеты, для акушерства, гинекологии, ангиологии, кардиологии, мышечно-скелетной системы, поверхностных органов, урологии, педиатрии, абдоминальных исследований
  • Редактор отчетов и ассистент сканирования - автоматический выбор последовательности сканирования и проведения измерений
  • SonoL&D - программное обеспечение для исследования во втором периоде родов
  • Держатель геля
  • Держатель внутриполостного датчика

Возможные дополнительные опции УЗ сканера Logiq VOLUSON S10:

  • Анатомический М-режим
  • Режим кодированных гармоник для исследования с контрастными веществами
  • Программа эластографии
  • Программная опция поддержки видеозаписи на DVD и USB-носители в реальном режиме времени - параллельно с проводимым исследованием
  • Программный пакет 3D/4D Activation
  • Расширенный программный пакет Advanced 3D/4D Package
  • HDlive в 3D и 4D - режим перемещаемого виртуального источника освещения - "виртуальная фетоскопия"
  • Расширенный программный пакет объемного контрастного изображения (VCI) для объемных датчиков
  • Программа для исследований сердца плода с возможностью цветовых допплеровских и ангиографических исследований на основе анализа пространственно-временной корреляции изображений (STIС)
  • Программное обеспечение для исследования сердца плода в режиме 3D/4D (быстрый доступ к плоскостям сканирования) по рекомендациям ISUOG.VOCAL
  • SonoAVC (SonoAVC follicle, SonoAVCantral).SonoVCAD labor - программное обеспечение для исследования во втором периоде родов
  • Программное обеспечение для для анализа и обработки полученных трехмерных и четырехмерных данных для второй рабочей станции

  • Объемный 3D/4D датчик GE RAB6-RS
  • 3D/4D ректально-вагинальный датчик GE RIC5-9A-RS
  • Конвексный датчик GE C1-5-RS
  • Внутриполостной датчик GE IC9-RS
  • Линейный датчик GE 9L-RS
  • Линейный датчик GE ML6-15-RS
Давайте обсудим
Покупку или лизинг
медицинского оборудования