Пенза ваш город?
Да
Выбрать другой город

УЗИ-аппарат
Canon Aplio i800

В наличии
Ультразвуковая система Aplio i800 обеспечивает исключительно высокую точность и производительность. Четкие и контрастные изображения с улучшенным разрешением и глубиной проникновения, а также программные и аппаратные опции позволяют быстро получать качественный результат на этапе ранней УЗ диагностики.
В корзине
Лизинг
Доставка и лизинг по всей России
Включая Дагестан, Чечню и Крым
Гарантия
Гарантия на медицинское оборудование от производителя!
Послепродажный сервис
Инженерная поддержка
Инструктаж по монтажу и обучение персонала включены в стоимость
Гибкие условия
Оперативная доставка
Лизинг и доставка оборудования в наличии от 1 рабоего дня

Режимы работы i800:

  • B, M, PWD, CWD, CFM, Precision Imaging, ApliPure, MicroPure, Power, TDI, 4D, 3D Color, STIC, STIC Color, Smart 3D, Fusion, Smart Navigation, 2D WMT, а также
  • BEAM (оригинальная технология автоматического оптимального отображения пункционной иглы в реальном времени),
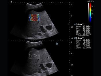
  • компрессионная эластография и эластография сдвиговой волны,
  • SMI – Superb Micro-vascular Imaging (технология визуализации микроциркуляторного русла позволяет отобразить низкоскоростной кровоток в микрососудах)

Особенности Aplio i800:

  • технология формирования УЗ-луча iBeam отличается повышенными вычислительными возможностями и позволяет получить высокую четкость и детализацию изображений при обследовании малых и сложных пациентов
  • технология DINAMIC MICROSLICE путем улучшения четкости томографических срезов повышает качество диагностики, независимо от глубины визуализации
  • функция полупрозрачного стекла «Shadow Glass» позволяет более качественно визуализировать детали
  • Smart Sensor3D – добавление магнитного датчика к обычному УЗ датчику позволяет получать информацию о позиционировании и точно вычислять объём, а также расстояние и угол
  • сверхширокополосные датчики (конвексный датчик i8CX1, объёмный чреспищеводный датчик TEE i6SVX2, объёмный секторный датчик i6SVX1 и i6SX1, а также линейный i18LX5) отличаются высокой чувствительностью и разрешением как глубоких, так и поверхностных структур и охватывают в 2 раза большее пространство по сравнению с обычными датчиками
  • технология Precision обеспечивает четкие контуры и высокую однородность изображений
  • функция ApliPure обеспечивает получение изображений с высокой контрастностью и низким уровнем шумов
  • режим (DTH) дифференциальной тканевой гармоники увеличивает глубину проникновения УЗИ лучей и улучшает пространственное разрешение
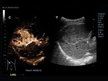
  • возможность исследования с контрастным веществом (CEUS)
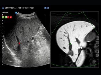
  • функция Smart Fusion позволяет в реальном времени на 4-х зонном экране монитора анализировать и сравнивать текущие УЗ-изображения с изображениями, полученными на КТ, МРТ и УЗ-изображениями, полученными ранее
  • функция Smart Navigation облегчает проведение биопсии, отслеживая путь биопсийной иглы, кодируемой цветом
  • режим Luminance позволяет получать качественное изображение плода в первом триметстре путем трехмерной реконструкции получаемых данных
  • возможность работы с «сырыми» данными
  • с помощью функции Fly Thru можно исследовать объёмные образования путем навигации по реконструированным полостям и сосудам
  • функция тканевого допплеровского картирования (Pulsed-Wave-TDI) используется для точной временной оценки кардиальных событий в визуальном представлении и количественном выражении
  • запуск режима визуализации митрального клапана производится нажатием одной кнопки
  • в аппарате Aplio i800 реализована улучшенная технология трекинга миокарда, а также программа автоматического расчета площади митрального клапана

Купить УЗИ-аппарат Canon Aplio i800

Продаем оборудование в лизинг, сотрудничая с несколькими лизинговыми компаниями:

  • Вы оставляете заявку
  • Наш менеджер готовит предложение на оборудование и график платежей
  • Вы получаете одобрение в лизинговой компании и заключаете договор лизинга
  • Лизинговая компания приобретает оборудование и передает вам в лизинг
  • Вы пользуетесь медицинским оборудованием
  • Вносите регулярный лизинговый платёж, по окончании договора оборудование переходит в вашу собственность

Звоните по телефону 8 800 700 21 33 уже сейчас, чтобы получить выгодную цену и лучшие условия финансирования. Потом будет дороже! Оставьте заявку на коммерческое предложение по аппарату Aplio i800

Технические характеристики
Диагональ монитора:
23 дюйм
Диагональ командной сенсорной панели:
12.1 дюйм
Вес аппарата:
110 кг
Жесткий диск:
512 ГБ
Тип аппарата:
Стационарный
Эластография:
Компрессионная, Сдвиговая
Класс аппарата:
Премиальный
Поддерживаемые датчики:
Матричные
Количество портов:
4
Страна производитель:
Япония
Бренд:
Canon
Категория:
Общая визуализация, Гинекология и акушерство, УЗИ для кардиологии
Доступные опции
Режимы акустической прозрачности 3D:
Нет
Трехмерная реконструкция ЦДК:
Да
Объемное сканирование:
Нет
Трехмерная реконструкция методом свободной руки:
Да
Эластография сдвиговой волной/Эластометрия:
Да
Компрессионная эластография:
Да
Автоматическая подстройка рамки допплера:
Нет
Режим полной автоматизации:
Нет
Недопплеровская визуализация кровотока:
Нет
Тканевой допплер:
Да
Направленный энергетический допплер:
Да
Энергетический допплер:
Да
Высокочастотный импульсный допплер:
Да
Цветовой допплер:
Да
Постоянно-волновой допплер:
Да
Импульсно-волновой допплер:
Да
Анатомический М-режим:
Да
Панорамное сканирование:
Да
Режим B-сканирования с отклонением угла:
Нет
Трапециевидное сканирование/Виртуальный конвекс:
Да
Триплексное сканирование:
Нет
Дуплексное сканирование:
Нет
Цветной M-режим:
Нет
M-режим:
Нет
B-режим, Двухмерное сканирование:
Нет
Область применения
Общая визуализация:
Да
Кардиология:
Да
Гинекология:
Да
Компоненты дополнительной поставки
3D/4D:
Да
4D:
Да
DICOM:
Да
IMT (Intima Media thickness):
Да
B-Steer:
Да
STIC:
Да
Аккумуляторная батарея:
Да
Подогреватель геля:
Да
Стресс-эхо:
Да
ЭКГ модуль:
Да
Smart 3D:
Да
IFusion:
Да
Онлайн калькулятор
Цена
Ориентировочная цена модели
Аванс
10% 100%
 
Срок лизинга
12 месяцев 36 месяцев
 
Ежемесячный платёж
Первоначальный взнос
* Рассчет платежа носит информационный характер и не является публичной офертой.
Условия лизинга индивидуальны для каждого договора.
Условия лизинга
  • По всей России (Включая Крым, Дагестан и Чечню)
  • Авансовый платеж от 10% (для УЗИ брендов GE, Mindray и Samsung)
  • Оформление лизинга от 48 часов
  • Возможность досрочного погашения
  • Лизинг оборудования от 1 года

  • ЖК-монитора 23" (FullHD, регулируемое положение);
  • Сенсорный монитор 12.1";
  • Трекбол;
  • Количество портов: 4+1;
  • Архитектура iBeam обеспечивает беспрецедентную четкость и детализацию (в том числе и у самых маленьких пациентов);
  • Интеллектуальная технология DYNAMIC MICROSLICE;
  • Сверхширокополосные датчики;
  • Технология Precision+ позволяет получать изображения с четкими контурами, высокой однородностью и снижает уровень помех;
  • Функцией ApliPureTM+, позволяет получать изображения с повышенной контрастностью и пониженным уровнем спекл-шума;
  • Режим дифференцированной тканевой гармоники (DTH);
  • Технология визуализации микроциркуляторного русла (SMI) - расширяет диапазон видимости кровотока и позволяет увидеть низкоскоростной поток в микрососудах, что ранее было невозможно при традиционных ультразвуковых исследованиях.
Давайте обсудим
Покупку или лизинг
медицинского оборудования